添加时间:2025-05-16 11:43 浏览次数: 来源:
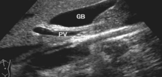
一、正常胆囊超声图像有的时候经常发现检查不到胆囊,其实有几种可能性,检查人员的技术不过关没发现胆囊,就要找上级医生会诊,如果还是没找到的话就不是技术问题。结石或肿瘤充满胆囊,使其液腔消失,慢性胆囊炎使得胆囊萎缩或胆囊壁肥厚而囊腔消失患者已进食,胆囊处于胆汁排空的状态,胆囊先天性过小或缺失;胆囊位置极端异常(可能很低或位于左侧)胆囊切除术后(注意询问病史)。


联系人:13922709440 余先生
固 话:86-020-86059537
服务热线:400-800-8232
邮 箱:xianhao266@163.com
公 司:广州市显浩医疗设备股份有限公司
广州总部地址:广州市黄埔区开源大道188号十三栋1301室
湖北公司地址:湖北省钟祥市经济开发区协企联盟园区C6、C7栋